Despite hearing my surgeon speak, providing medical information, sound no longer filtered through my eardrum. After some time (I’m not sure how long), I drifted slowly back to the sound of his voice. I heard Dr Tollesson half thinking out loud; “How do you get a patient not to worry when you tell them they have a tumor…?”.
Maybe he noticed the blank stare on my face as my brain started going in a thousand different directions. Maybe he’s delivered this news countless times before and knows the natural response to it all. Regardless, he continued to offer reassurance saying; “This is the tumor you’d want to have”. I breathed deeply, smiled and nodded thinking to myself; “Seriously life! What next?!“. But, strangely enough, I felt secure in everything he was saying. I recall asking him if the finding was something “normal“, something he would “expect to see” on my imaging. He said “No“.
This was a moment in time: May 2024, to be exact.
Stressful situations DO NOT help
The month before, on 16 April, the day of my dismissal meeting, I had an episode of vision loss. It left me with an overwhelming feeling of De Ja Vu and anxiety! I was painfully aware that the last time it happened, I needed to have a repeat ETV. While I attributed the event to the stress of the day, I had not anticipated being let go from a job with a company I had worked for since July 2012. However, I’m aware that none of what transpired was within my control. Besides, I have more important things to focus on.
I opted for being safe than sorry. So, I visited the local optometrist to have my eyes tested. They strongly advised I go back to see Dr Tollesson. He then ordered the MRI. While there was no explanation for what caused the episode of vision loss, known as hemianopia, the incidental finding of the pituitary tumor has now alerted Dr Tollesson to what we need to focus on next. I recall him saying that due to the location, if it were bigger, it would cause pressure on the optic nerve as it grows, and explain loss of vision. Regardless, it’s not the cause based on the imaging he was looking at. It’s too small and currently classed a micro adenoma, should it grow in size, it will be called a macro adenoma.
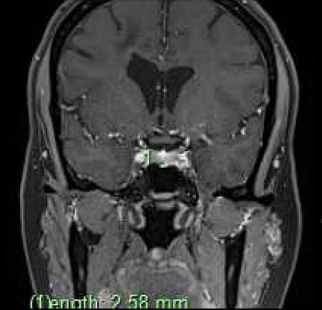
Pituitary tumor imaging

2.58mm in length

I’ve had more than enough time, since then, to process and wrap my head around it all (pun intended).
You can read more about Pituitary Tumors here.
Wait-and-see approach
I’m learning that there’s a wait-and-see approach when these findings are made. In 2019, following an endoscopy, my gastroenterologist found a sessile polyp in my stomach, which is due for recall in 2025. So, I’ll have it redone to see if there’s been any change. And the micro adenoma, mentioned above, is booked for a repeat MRI in May 2025 to do a size comparison and determine next steps, if required.
Undoubtedly, with both of these findings it’ll be a case of ruling out Cancer. Most likely they are both benign, hence the wait-and-see approach…
You cannot control what happens to you but you can control YOUR response
For now, I carry on and live life. Working on my helping myself with my brain injury rehab. Trying not to focus on any of the above, adopting an “I’ll cross that bridge when I get there” attitude. This works for the most part. Still, as with everything else medically that affects me, I research my opponent.
In order for me to deal with a diagnosis, I need to know what to expect, or be aware of. I do this to increase my own understanding. I educate myself to a point where I reach a level of comfort, exploring causes, treatment, benefits and risks. Thereafter, I’m able to make peace with the situation. Then, I share my experiences to raise awareness, in case anyone else can gain from it.
What’s your process? Feel free to let me know what works for you.
 
	
Bethany Bacon
December 22, 2024 at 12:41 amPrayer and continuing to fully trust God without doubting; remember, anything negative belongs to Satan!
Anonymous
December 21, 2024 at 2:11 pmHoping for a speedy recovery. Best wishes for 2025