Hydrocephalus: What does an angry brain look like..?
Being bounced around the system, regardless of where in the world it is, is no fun at all. I sometimes think that people assume if you look fine, you must be fine. Having Hydrocephalus has certainly made me feel this way, on one too many occasions, regardless of who the other party is.
Some more disappointingly than others…
As it turns out, that’s exactly what happened a few weeks back, when I went to the Emergency room at the hospital. It didn’t go anywhere as I wrote about here. But, just over a week after that, I requested a copy of my MRI results from my GPs room. Instead, they sent me the release notes from the hospital. Not quite what I was after but, insightful nonetheless. It’s clear (from the discharge notes), that the Neurosurgical registrar who attended to me, simply didn’t get it.
She’s not the first and she sure won’t be the last.
Putting everything aside, I can certainly see myself through her eyes and, I can even understand her treatment and approach.
Too bad it doesn’t work both ways.
By the same token, I know and understand fully my thoughts, feelings, emotions and reaction. All of which, when put into context, is through no fault of my own and most certainly justified.
But…not everything in life is ever that simple…especially not with an invisible condition!
So, what does an angry brain look like? More specifically, why is mine?

I’m sure if my brain could talk, it would tell me: “I’m angry and grumpy because, you’re not fighting hard enough. It seems like you’re ignoring the signs I’m giving you. You’re DUMB!”. Also, I have to live with all the challenges Hydrocephalus comes with. I may not like it but it’s not as if I can just replace that frown with a smile.
Wish it was as simple…
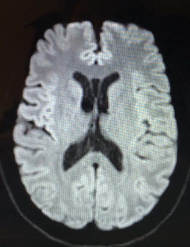
I like to view my MRI and CT scan images, even though I can’t interpret them fully. The images are like little snapshot slices of your brain, creating a point in time view of the current state. But, at certain points, you get a different view. While building up to what my ventricles look like, the image above formed, and it looked like a grumpy face to me. (Hence the title of this post),
So, to answer my own question. I live in this body. I feel every little tantrum and emotion caused from having Hydrocephalus – good, bad and ugly. But, sometimes it’s not simply just a tantrum to be ignored. Besides, who better to fend for me than…me?
I’m literally the only conduit between this body and the outside world. Trying to convince doctors that something is wrong, has been exhausting and soul crushing – majority of the time.
I feel as if I fail myself each and every time they don’t take my symptoms seriously…
In all fairness to me, this has probably been happening since my diagnosis, 13 years ago! More importantly, I’ve never experienced ETV failure so, I don’t have anything to base my suspicions on – other than my gut feel. (That’s good enough for me though). I have, however, experienced shunt failure and it was the same painful, uphill shit shovelling scenario as it has been with my ETV.
I’ve asked this question before…
Do these doctors really want an unresponsive, comatose, half-dead person to deal with? I understand that operating is the last thing they want to do and there are dangers with this surgery. But, the same can be said about them doing nothing…
Without a doubt, it’s a damned if you do, damned if you don’t situation, and one, no one wants to face.
I certainly don’t but, what choice do I have?
You might wonder, if I’m still “standing”, does that mean that I’m actually OK and making a big deal out of nothing? Does it mean that you don’t always need surgery when you suspect something is wrong? Does it mean that you don’t have to act when you’re symptomatic?
The answer to all these questions is never easy to come by. I’m definitely struggling with it…
When I said, I’m figuring out my next move, I came to the following conclusion. I don’t have a next move. I’m letting it play out as it will…let the chips lie where they fall.
My husband has been given the brief: “I can’t fight this anymore. If for whatever reason I can’t speak up for myself but need help, you are going to have to do it for me – on your own“. He looked at me in silence…
My last hope in a Neurosurgeon, has come back with an offer of an appointment to see her, through the public system. Having looked at my MRI, which looks fine, she’s not rushing into anything. (I’m still convinced having imaging done at the time of feeling unwell yields a different result as opposed to having it done a few weeks later – MRI and CT results are clearly not aligned in this case as can be seen below).

I’ve tried to put this out of my mind, which is not so easy. Ignoring this difference, is highly likely another reason why my brain is angry!
So, the nearly 2-month wait since the (just over 2 weeks) dizziness, till 1 November, is probably worth the wait. And, I’ve officially been labeled “a complex case” – go figure!

My mother has hydrocephalus. It has been a struggle trying to help her for the last 10 years, since her diagnosis. she does not understand her condition completely & it has led to her making poor and sometimes dangerous choices for herself. The shunt she had put in her brain does not seem to make much difference at times. But then at other times she seems to be “normal” (or as normal as she can be after the toll it has taken on her health). The medical field has not been much help, as you mention with your experience. It is very hard to find support of any form as many people have never heard of the condition. Worst of all it has been heart wrenching watching a woman who was always so independent & healthy struggle with her health, the affects it has had on her emotional health, & the denial. I have been left not knowing how to care for her or get her the help she needs.
I hear so much in what you’ve written and truly empathise with what your mother is going through. It’s a hard one to explain. Most of what I know is through my own experiences and others either validating what I’m going through which, in itself, is just so useful.
Shunts don’t always work as intended and when they do fail, they can wreak havoc. Does she have a good Neurosurgeon who follows her progress or has follow up consults at least once a year or when symptomatic?
Knowing what to look out for in terms of shunt failure is key.
Feel free to reach out with any questions you might have. I’ll answer as best as I can but I’m not a medical professional, just a fellow Hydro warrior. 💙
I enjoyed reading this story for1)I also have hydrocephalus and understand the frustration that she and( he) maybe feeling it’s finally nice to come across a story that grabs my eye and has something to do with a condition that I have I look for stories like that because where I live I don’t have anybody or a group to attend to do help me understand and communicate my aggravation about my spina bifida hydrocephalus and other issues that I have with my health so it was nice to read the story I’m sorry that this young lady went through this I totally understand totally understand where she’s coming from been there done that I’m 55 with spina bifida and hydrocephalus I wish you the best and you’re not alone definitely not alone God bless you and I I personally appreciate the fact that you have shared your story take care and I hope that life is treating you much better God bless
Hi Debbie. Thank you for our comment and sharing, I appreciate it. I can just imagine it must feel isolating not to have anyone to talk to about all this. Feel free to contact me, I may not have all the answers but I do know how to listen💙