The unexplained is complicated, and neurosurgeons don’t always have the answer…
Let’s be honest: They are human too (despite some of them having a god-like complex). They can, and do, make mistakes but they also save lives.
The difference: A surgeon who doesn’t make the effort, gives up because it’s too hard, or simply dismisses your concerns.
VS
A surgeon who goes the extra mile in trying to figure out the root cause, wants to help, or alleviate your pain. (These ones may just be worth holding onto).
As someone with a “complex” medical history, personally and medically speaking, I don’t ask for much. I prefer to be treated like a human being, and listened to, instead of being gaslighted, ignored or dismissed. More importantly, if my body tells me something isn’t right, I tend to listen. Then, I seek help. I expect it would be the same for any reasonable person…
Sometimes there’s a valid reason but, other times, the cause remains an unsolved mystery. In which case it’s, ultimately, something I simply have to learn to live with. (Not always easy to accept).
In March and April this year, I experienced intermittent vision loss again, after an increase in headaches. (Needless to say, since the previous times resulted in brain surgery, it’s an unnerving experience). It was very similar to when I had my ETV redone in 2021, and again in 2022, when I had my VP shunt placed.
The symptoms this time were:
- Increased headaches for a minimum of 3 to about 5 days, over the last few months. Lasting all day and night.
- Fatigue.
- Dizziness with some nausea but no vomiting.
- Partial loss of vision as before. Blurry image across centre of eyes. Lasts about 30mins to just over an hour or 2.
- Mild headache after but not migraine. Bearable. Sometimes with a dull pounding throughout the night.
- Wake up feeling dizzy, lasting all day.
I briefly discussed the vision loss with Dr T, right before he performed my SI joint fusion surgery, about a month ago. He asked if I thought it could be my shunt and I told him I’m not sure.
The issue with intermittent symptoms is, by the time you have diagnostic testing or imaging done, and/or see your doctor, you’re no longer experiencing any of it. Annoying AND frustrating!!! (That’s putting it mildly). He agrees with my line of thinking on this.
Following a trip to Specsavers, the quickest way to check the pressure behind my eyes, I also had a vision field test done. The optometrist referred me back to my surgeon due to signs of hemianopia. Dr T then ordered an MRI + Pituatary gland + CSF flow study. I had that done last Wednesday and on Thursday, I had my follow up with him to get the results.
Thankfully, the pituitary gland looks good. I suspect he wanted to rule out the possibility of a tumour.
The other considerations he had to explain the cause, thinking out loud are either:
- Migraine, (Which I’m not entirely convinced of).
- The shunt being blocked at either end, and then self-resolving.
- A seizure, or other brain activity. I told him that I’ve never experienced a seizure (that I’m aware of), so wouldn’t know. (But, truth be told, this too seems unlikely to me).
Suggestions to determine the root cause
- CT guided lumbar puncture to check the pressure, or
- Go to the hospital when it happens again. That way they can look at any and all possible causes, as it’s happening.
He explained and advised; “If it is the shunt, it’ll more likely be both sides. Shunts are not perfect, it’s the plumbing…See how it goes.”
Shunts not being “perfect” is something most of us, diagnosed with hydrocephalus, know only too well.
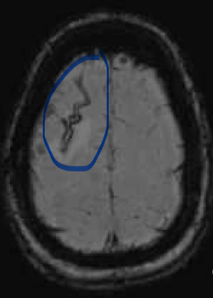
We examined my MRI imaging together and I told him; “I’m no neurosurgeon but something I saw on the imaging earlier (that day), didn’t look quite right to me”. He smiled and said; “That may be but you’re getting there”. We both laughed.
I asked him to pull up the image below, which he explained as the bleeding on the brain I had in 2021, which leaves a stain. Also known as hemosiderin.

Unfortunately, at this stage, the intermittent vision loss remains unexplained.
My search for a neurosurgeon who listens to me, considers what I have to say and who I feel comfortable with, may very well end with Dr T. (Unless the situation requires a change). I don’t know what the future holds in store, none of us do. But, like shunts, neurosurgeons aren’t perfect either. I’m not expecting perfection from him. The cause of the bleed I had will forever be a mystery to me. I have made every effort to try and move on from it (constant work in progress).
Regardless, I don’t hold him responsible for it in any way. I acknowledge that brain surgery is risky. And, in doing so, I choose to view it as; he saved my life that day.
Admittedly; My appetite for further surgery has drastically reduced. I’ve said it before, if it were up to me, I wouldn’t have any more. The damage and injury caused by brain surgery is not something I can in good conscience accept anymore of.
I also acknowledge and accept that Dr T may get it wrong at times too. However, there’s a human being behind the scrubs, something I’ve only seen with one other surgeon, since this journey started in 2007. The difference is the way he treats all of his patients. I’m left feeling like my voice matters (as much as is possible, given the circumstances), in a situation that is DEFINITELY NOT within either of our control.
Note: I asked his permission to voice record our consult as my memory is crap! He had no issues with this and was, in fact, quite comical about it.

Complex conditions, aren’t they great? I hope you can get some relief and answers to what’s going on… and that they don’t take too long to resolve!
They certainly are!
Thank you. I hope so too.
Oh Lordy Skye, what next? Thinking of you. All the best!
Christine
I know, right? Life…the gift that keeps on giving!